大家好,今天小编关注到一个比较有意思的话题,就是关于4岁娃全麻拔乳牙身亡的问题,于是小编就整理了3个相关介绍4岁娃全麻拔乳牙身亡的解答,让我们一起看看吧。

小孩拔牙打麻药有影响吗?
对于你讲的情况来说,小孩需要打麻药拔牙,应该是有滞留的乳牙要进行拔除的,而打麻药一般是很小的量,对宝宝的身体的健康是没有影响的呢,这个是不用担心的,有乳牙滞留的现象的还是需要及时的进行拔除的。避免造成牙列拥挤的现象的发生的。
小孩拔牙需要打全麻吗?
全麻,大家印象中是需要做什么大手术时才会使用,小小的牙齿问题应该是不会用上的。那么,小孩拔牙需要打全麻吗?作为一名口腔医生,我的回答是:大多数情况下小孩拔牙都不需要全麻,但是有时候小孩配合程度差,全口多大龋齿时,则需要在全麻下进行口腔疾病治疗,相应的就会同时进行牙齿拔除。

关于小孩拔牙的相关问题,我们一起来聊一聊。
小孩什么时候会拔牙?
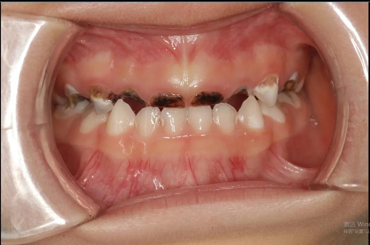
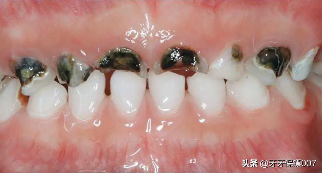
牙齿,行使着重要的咀嚼功能,也与全身健康紧密相关,能够不拔就尽量不予拔除。但是,有些特殊情况下,即使是小孩也需要进行牙齿拔除。临床工作中,最常见的情况如下:01.乳牙滞留,即恒牙已经萌出而相应的乳牙未脱落,则需要及时拔除;02.病变牙,如仅仅剩下一点残根,引起了严重的根尖周感染;03.多生牙、倒置阻生牙等。
拔牙的麻醉方式?
小孩的乳牙牙根一般会随着恒牙的萌出而逐步吸收,松动情况比较明显,可能用力啃咬东西都会脱落。因此,松动的乳牙周围进行局部表麻(一般为丁卡因)就可以拔牙。此外,有些乳牙比较稳固的,需要进行局部浸润麻醉,甚至采取下牙槽神经阻滞麻醉。
特殊情况下,有些小孩需要在全麻下进行多发龋坏处理时也可以一并处理;有些埋伏阻生牙、多生牙等操作复杂、风险较高者,也需要在全麻下拔牙。
小孩拔牙后怎么办?
拔牙后余留一个空空的牙槽窝,后期颌骨逐步吸收改建完成。临床工作中,小孩的牙齿拔除后,需要进行相应的评估及制定下一步治疗计划。
若是小朋友乳牙拔掉后恒牙已经或即将萌出,一般就会暂时观察不予特殊处理。若是恒牙牙根发育不足1/2,顶层牙槽骨过厚,距离正常萌出还有较长的时间,那么需要在拔牙后及时戴上间隙维持器,确保相应的恒牙有足够的空间萌出。
总结
小孩子拔乳牙,大多都在诊间局麻下拔除即可,但也有特殊情况,特别是近年来儿童舒适化治疗的开展,针对口腔问题较多且配合程度欠佳的患儿,可以考虑在全麻下进行处理。温馨提示:乳牙虽然会逐步更换,但是发生病变时仍需要引起重视和积极处理,避免带来疼痛和影响恒牙发育,甚至给身体健康带来隐患。
狗狗一周岁了乳牙没掉,医生建议做绝育时顺便拔掉,同时做的话麻醉后它还会有痛感吗?
您好,我是一名执业兽医师。
医生的建议是没有问题的,做完基本没有任何影响,你说一点不痛是骗人的,但是很快就会恢复正常的。
因为牙齿的问题,会影响以后的肾脏和心脏的问题,这个事情你必须早点进行解决,而解决这个问题的时间就是麻醉的时候,而且在绝育麻醉的时候最好。一次麻醉,搞定两件事情,何乐而不为。
早点执行吧,建议选择呼吸麻醉
到此,以上就是小编对于4岁娃全麻拔乳牙身亡的问题就介绍到这了,希望介绍关于4岁娃全麻拔乳牙身亡的3点解答对大家有用。
