大家好,今天小编关注到一个比较有意思的话题,就是关于不抽烟的女性得肺癌的问题,于是小编就整理了1个相关介绍不抽烟的女性得肺癌的解答,让我们一起看看吧。

即使不抽烟不喝酒,女性得肺癌的原因有哪些呢?
以前的观点认为,肺癌主要跟吸烟有关,中老年男性多见,肺鳞癌多见。那时候没有螺旋CT,对早期肺癌缺乏认识。
随着科技进步,高分辨率螺旋CT逐渐普及,发现了大量肺腺癌患者。
从病理上将肺癌分类,肺腺癌大约占60%,肺鳞癌约占30%,小细胞肺癌约占10%(来自韩国的统计数据)。
也就是说,肺腺癌患者大约是肺鳞癌的两倍,并且女性多于男性。
女性得肺癌的原因有哪些?
1.空气污染。
在空气清新的地区,肺癌发生率明显降低。
2.频繁接触二手烟和厨房油烟。
二手烟的危害甚至要大于一手烟。
3.肿瘤家族史。
人与人之间的基因不同,有些人基因稳定,一辈子吸烟都不会产生癌细胞,有些人可能只抽20年就会引起细胞癌变。
很多癌症病因不明,但肿瘤家族史一直是重要的危险因子。

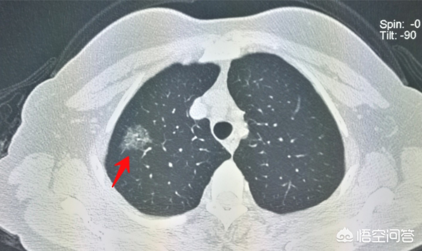
上图这位女士才30多岁,因为她小姨查出肺癌正在治疗中,心里紧张,也过来做了体检,结果发现微浸润腺癌。
如果不是这次体检,很可能在几年后进展成晚期癌症。
4.其他肺癌高危因素。
比如有些人性格压抑,不够开朗,遇到事情就会焦虑紧张,心里上暗火,有些人戏称这种性格为癌症性格。
还有随着人口老龄化的到来,老年性支气管炎和哮喘引起肺气肿,肺间质纤维化,也是肺癌的高危因素之一。
怎样更好地防范女性肺癌?
根据多组数据统计,女性不吸烟,肺鳞癌非常少见,应把防控重点放在肺腺癌上。
而早期肺腺癌,可以在相当长的时间内表现为肺结节,这就给了我们及时发现它的机会。
这也是我们提倡女性40岁以上,定期做一次胸部低剂量螺旋CT体检的原因。
像这位女士,体检发现9毫米磨玻璃结节,随访观察结节密度增高,手术切除治愈,病理是原位癌。
我是影像科豪大夫,谢谢阅读,欢迎关注我!
尽管二手烟是中国女性患肺癌的重要原因之一,但并非最主要的发病危险因素。柴火和煤烟污染以及油烟污染可能是中国女性患肺癌更重要的风险因素。针对室内油烟污染,一方面要改进烹调方式,尽量减少油炸、煎炒、爆炒;另一方面要改进灶具,选用质量有保证的、油烟吸净率较高的抽油烟机。再有就是要注意厨房通风。当然,肺癌的发生不能简单地归因为单一的某个因素,而是多因素综合作用的结果,中国女性肺癌当然也一样。除了吸烟(主动吸烟)、二手烟、三手烟、室内煤烟和油烟污染等,女性肺癌的发病同样也和室外空气污染、职业因素、遗传因素或其他不确知的因素有关。
众所诸知,吸烟是肺癌最重要的发病危险因素,但很多人不理解,不抽烟的人为什么也会得肺癌,比如很多女性不抽烟,可为什么还是会得肺癌?这其实是把问题简单化了,吸烟并不是肺癌唯一的因素,只是重要的危险因素之一,如果肺癌的唯一危险因素就是吸烟,那你不吸烟才可能肯定不得肺癌,不吸烟只是说,你得肺癌的风险会明显下降,但因为还有其他原因,所以,仍然可能得得肺癌,你每少一个危险因素,你的风险就下降一份,这个应该很好理解。
不吸烟的人,比如不吸烟的女性,为什么也会得肺癌?女性得肺癌的原因有哪些?
女性也有吸烟的,并不是所有女性都不吸烟,这是其一。对于不吸烟的女性,其实经常受着二手烟三手烟的伤害。女人患肺癌,其吸烟的丈夫也可能要负一定的责任,另外还有三手烟,三手烟就是烟民吸烟后残留在衣服、墙壁、地毯、家具甚至头发和皮肤等表面的固体残留物以及这些物体表面的烟草残留物与空气污染物发生化学反应所产生的第二代污染物,这种二手烟不容小视。
除了吸烟相关的因素(包括主动吸烟,二手烟,三手烟),室内空气污染也是不吸烟女性得肺癌的危险因素之一。其他人(比如家人)在室内吸烟会造成室内污染,此外,柴火和煤烟污染,房油烟污染等也是重要因素,比如,中国人烹饪偏好高温爆炒,高温烹调油形成的油烟包含大量的致癌物。
此外,职业、遗传等危险因素也是肺癌发病的危险因素。
肺癌的发生是多因素综合作用的结果,不吸烟的女性,可能受二手烟三手烟伤害,可能受室内空气污染伤害,可能职业伤害,可能遗传相关,可能其他未知因素等。
到此,以上就是小编对于不抽烟的女性得肺癌的问题就介绍到这了,希望介绍关于不抽烟的女性得肺癌的1点解答对大家有用。
