网络应用分享:实用绿色软件,手机APP分享站!
当前位置:首页 >> 网络资讯 >> 美国一男子便秘身亡,美国医生发现的奇怪新冠病毒症状-肠道异常是如何影响患者的?

美国一男子便秘身亡,美国医生发现的奇怪新冠病毒症状-肠道异常是如何影响患者的?

有鱼 网络资讯 1164

大家好,今天小编关注到一个比较有意思的话题,就是关于美国一男子便秘身亡的问题,于是小编就整理了1个相关介绍美国一男子便秘身亡的解答,让我们一起看看吧。

美国医生发现的奇怪新冠病毒症状-肠道异常是如何影响患者的?

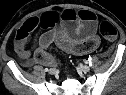
研究新冠病毒对人体影响的医生们发现,新冠病毒会对肠道产生巨大影响。该病毒攻击细胞上的ACE2受体的能力被认为与肠道异常有关,但还需要更多的研究才能得出肯定的结论。该研究发表在《放射学》杂志上。

美国一男子便秘身亡,美国医生发现的奇怪新冠病毒症状-肠道异常是如何影响患者的?

这项新研究揭示了一些隐藏的病毒,包括影响肠道的异常情况。这项研究建议医生应监测此类变化,患者应提高警惕,注意腹部症状。

到目前为止,很多新冠病毒的研究都集中在COVID-19对患者的肺和心脏的影响上。这些器官似乎是受影响最严重的器官,患者的症状很容易描述。然而,随着越来越多的患者在阳性诊断后出现腹部问题,研究人员团队决定对这些人的肠道进行研究。

这项研究包括了412名新型冠状病毒检测阳性的患者的数据,研究人员发现,在17%的患者在治疗过程中接受腹部造影检查的患者中,近三分之一的CT扫描显示肠道异常。

“我们在COVID-19患者的影像学上发现了肠道异常,更常见的是那些去ICU的病人,”马萨诸塞州总医院的Rajesh Bhayana博士在一份声明中说。“一些研究结果是典型的缺血性肠病或肠坏死。在那些做了手术的患者中,我们看到肠坏死部位旁边的小血管凝块。ICU中的患者可能因为其他原因导致肠缺血,但我们知道COVID-19会导致凝血和小血管损伤,所以肠道可能也会受到影响。”

这项研究并没有定论,也没有确定COVID-19患者肠道不适的确切原因,但研究人员认为病毒攻击组织细胞上的ACE2受体的能力可能是主要因素。“ACE2的表达在肺泡上皮细胞、小肠的肠道细胞和血管内皮细胞中最为丰富,这表明小肠和血管可能容易受到SARS-CoV-2感染。”研究人员解释说。

展望未来,研究人员建议,应进行更多的调查,以确定新冠病毒患者的肠道损伤程度,同时根据其他危险因素评估患者出现腹部变化的可能性。

到此,以上就是小编对于美国一男子便秘身亡的问题就介绍到这了,希望介绍关于美国一男子便秘身亡的1点解答对大家有用。

协助本站SEO优化一下,谢谢!
关键词不能为空

免责声明

本站提供的一切软件、教程和内容信息仅为个人学习测试使用,请在下载后的24个小时之内,从您的电脑或手机中彻底删除上述内容,不得用于任何商业用途,否则后果自负,请支持购买正版软件!如侵犯到您的权益,请及时与我们联系处理。敬请谅解!

同类推荐
控制面板
您好,欢迎到访网站!
  查看权限
网站分类
最新留言