大家好,今天小编关注到一个比较有意思的话题,就是关于咳嗽不止查出肺癌的问题,于是小编就整理了2个相关介绍咳嗽不止查出肺癌的解答,让我们一起看看吧。

咳嗽老是不好会是肺癌吗?
首先要批评题主,咳嗽老不好,不应该拖延!很多疾病早去看,都有办法治疗,不要把小病拖成大病!这方面是有惨痛教训的。

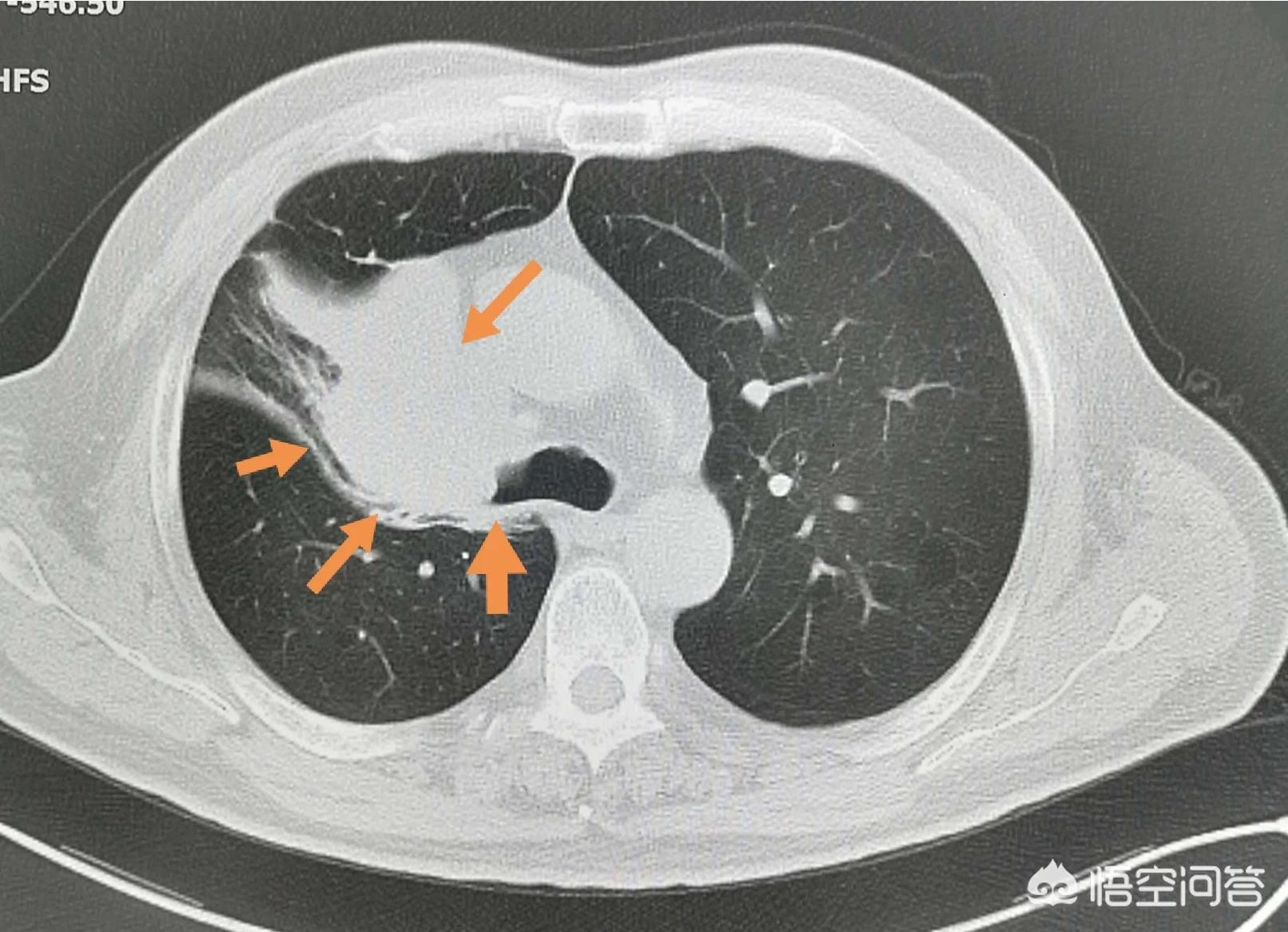
上图,这是一位60岁的男子,抽烟25年,每天一包半,经常咳嗽,去年过完年就开始逐渐加重,主动戒烟一段时间也不见好,一直拖了有三个月才过来检查,结果是中心型肺鳞癌,把气管都快堵住了,肿块太大,治疗很麻烦。
当然话又说回来,只有咳嗽症状,也不要过度担心,咳嗽是最常见的呼吸道症状,大多数情况下不是肺癌,比如支气管炎、慢性咽炎,冷空气过敏、胃食管反流等,都可以引起咳嗽症状,如果过敏源或炎症诱因持续存在,咳嗽也可以反复发作。
但是,任何迁延不愈的呼吸道症状,都要提高警惕!
因为肺癌发病率实在太高了,症状多种多样,咳嗽症状也是其中之一。
像这位62岁老烟民,抽烟40多年,反反复复的咳嗽,持续两个多月,偶尔有低烧,口服消炎药有一点好转。最近一周加重了,CT发现右侧肺肿块,穿刺确诊为肺鳞癌。
这位病人比较幸运,肿瘤没有发生远处转移,手术快3年了。
咳嗽老不好,应该挂什么科?做什么检查?
咳嗽咳痰是老年人和烟民的常见症状,先挂呼吸科,请医生检查一下咽喉、肺部听诊,再做个肺部CT,CT是筛查早期小肺癌的首选方法。在2018年国际肺癌大会上,来自荷兰和比利时的一组数据,他们通过长期跟踪,发现肺部低剂量CT筛查,与对照组相比,可以将男性肺癌10年死亡率降低26%,女性降低39%(早期肺腺癌,女性多于男性,更容易从筛查中获益)。我国浙江舟山医院、山东省聊城二院、山东省烟台山医院的类似研究,也支持这方面论点。
肺部低剂量CT扫描,是阻击晚期肺癌的有效方法。
再过两天就是世界无烟日,为了身边的亲人,早点戒烟吧,不要让亲人和孩子跟着吸二手烟。#给戒烟的人点个赞吧#
我是影像科豪大夫,欢迎关注!
导致咳嗽的原因很多,肺癌只是这里面众多原因之一。
感染因素
感染是最常见的导致咳嗽的原因之一,包括普通的感冒,急性慢性支气管炎、肺炎,肺结核等,上述除了慢性支气管炎以外,多数都有一定的时限性,也就是说经过积极治疗后,大都能完全缓解。支气管炎反复发作,可以转变为慢性支气管炎,甚至是肺气肿,肺心病,出现反复慢性咳嗽症状。
非感染因素
1、慢性咽炎 有些慢性咽炎可以表现出反复的间断咳嗽,由咽痒不适诱发,伴或不伴咯痰,这些炎症可以和感染没有关系。
2、过敏反应 有些季节性咳嗽多和过敏因素有关,或伴有过敏性鼻炎、支气管哮喘等,也有人对尘螨、花粉、粉尘,甚至冷空气过敏,导致气道敏感性增高,反复咳嗽。
3、长期吸烟者 长期吸烟可以导致支气管粘膜上皮细胞受损,出现支气管刺激症状。
3、肿瘤因素:肺癌也是导致咳嗽的一个原因 ,多见于中心型肺癌,但也有很多肺癌患者可以没有任何呼吸道症状。
所以,如果总是出现咳嗽,看有没有导致的咳嗽原因存在,必要时做胸部CT排查,除外不良疾病的可能。
谢邀!
关于咳嗽
在医院各个专科门诊中,呼吸内科门诊向来都是人满为患的,其中一大半的病人都是由于咳嗽来医院就诊。咳嗽太久的话,对人们的生活、工作和社会活动有负面影响。
根据我们的医疗指南,如果按是否伴随痰液,又可分为干咳(无痰)与湿咳(每天痰量>10 毫升)。如果按咳嗽持续的时间来区分,咳嗽可分为急性咳嗽(<3个星期)、亚急性咳嗽(3-8个星期)和慢性咳嗽(>8个星期),其中慢性咳嗽在社区人群中患病率约10%,可占国内呼吸专科门诊量的30%,以30-40岁的青壮年居多,男女比例大概一致。
我国老百姓慢性咳嗽的病因排行榜:
咳嗽变异性哮喘:最为常见,占我国社区人群慢性咳嗽病因的三分之一。
上气道咳嗽综合征:由于各种原因引起的上呼吸道分泌物(痰)刺激局部气管或支气管的痉挛而引起的咳嗽。
嗜酸粒细胞性支气管炎:大约占慢性咳嗽的15%~22%,可能与过敏或吸烟等因素有关。
慢性支气管炎
支气管扩张症
胃食管反流性咳嗽
其他病因:气管/支气管结核、支气管肺癌和心理性咳嗽等。
由此可见,慢性咳嗽的病人中,肺癌的发生率并不高;而反过来说,肺癌的病人并非都有慢性咳嗽。
尽管肺癌的发病率有年轻化的趋势,但总的来说,肺癌的高发人群仍然在 50 岁以后。吸烟是导致肺癌的最主要原因,此外二手烟的暴露、长期接触石棉的工人、长期从事烹饪工作的厨师/家庭妇女也是肺癌的高危人群。
肺癌的早期征兆:
痰中出现血丝或咳血;
稍重的体力活动后出现胸闷、气促;
咳嗽持续时间超过 3个星期或者规范的祛痰止咳治疗无效;
持续或间歇性的肩背部或胸部疼痛;
规范治疗下迁延不愈或反复发作的肺炎 ;
不明原因的发热、体重下降、疲乏、声音嘶哑、精神差等等;
参考文献:
中国临床肿瘤学会肺癌诊疗指南(2018版)更新解读咳嗽老不好不一定是肺有问题,我就咳嗽三个多月,吃了非常多药,检查了肺也没问题,检查鼻子说是鼻炎引起喉咙痒咳嗽,又吃一堆药,没好,又换医院检查出来是胃酸返流引起喉咙痒咳嗽的,所以建议做一下胃检查和鼻子检查,当然肺也拍片一下
长期咳嗽会是肺癌吗?肺癌咳嗽和普通咳嗽怎样区别?
现代社会,肺癌的发病率逐年升高,肺癌的总体预后较差。许多患者出现长期的咳嗽后就非常紧张,非常害怕自己得了肺癌。
长期咳嗽就是肺癌吗?
长期咳嗽的人应警惕肺癌,但不是所有的长期咳嗽都是肺癌。
肺癌的咳嗽和普通的咳嗽是有区别的。
肺癌的咳嗽:肺癌的咳嗽是由于肿瘤刺激支气管引起的咳嗽。
其特点是:为阵发性刺激性的干咳,一般无痰,咳嗽不剧烈、不频繁。口服抗生素后症状不缓解或者稍微缓解后又复发。如果肺癌增大,阻塞了大的支气管会引起阻塞性肺不张、阻塞性肺炎,这时候就会出现咳痰症状,抗生素治疗效果不佳。
普通咳嗽:普通咳嗽多由细菌、病毒、支原体、衣原体等引起。
其特点是:咳嗽频繁,伴有白色、黄色痰液,经抗感染、抗病毒等对症治疗后症状很快缓解,且不易复发。
所以肺癌引起的咳嗽和普通的咳嗽是有区别的。但千万不能用症状去推测疾病。如果长期咳嗽、咳痰,经治疗后无好转或者好转后很快复发,那么要警惕肺癌可能。需要到正规医院就诊,必要时行胸部CT排除肺癌。
原创不易,如果你喜欢我的文章,欢迎关注、转发、点赞。
很多人可能都有这样的误解,肺癌一定会伴发咳嗽,其实不是这样的。
一、部分癌症可能没有咳嗽的症状
中心型肺癌因为支气管受到了肿瘤的刺激,会出现反复不愈的咳嗽症状,可以为刺激性干咳,可以是咳嗽伴有咯痰,甚至是痰中带血,这种情况比较好理解。
但周围型肺癌因为肿瘤远离主气道,长在肺实质内,一般不会有咳嗽症状,甚至是到了癌症晚期,也不会出现咳嗽症状。
所以,咳嗽不是肺癌必须出现的症状。
二、长期咳嗽会不会是肺癌呢
长期反复不愈的咳嗽,一定有原因,肺癌只是其众多原因里的一种。其它的还有老年性慢性支气管炎、肺结核、咳嗽变异性哮喘,甚至是慢性咽炎、胃食管反流等,在原发病没有治愈的情况下都会导致经久不愈的咳嗽症状。
三、肺癌咳嗽和普通咳嗽的不同
二者其实并没有本质的区别,只是肺癌咳嗽可以是无原因的刺激性干咳,而且咳嗽症状持续存在。其它咳嗽大多会有其它伴随症状,比如炎性咳嗽会伴有咯脓痰,慢性咽炎导致的咳嗽会伴有咽痒不适,过敏性咳嗽会有伴随的喘憋症状等。
总之,单纯的咳嗽症状并不能分辨出良恶性疾病,如果确实没有其它导致咳嗽的原因,而又经常出现阵发咳嗽,就必要做个胸部CT排查一下。
肺癌咳嗽的典型症状是进行性加重的阵发性刺激性干咳,咳少量痰,伴咯血。肺癌会引起长期咳嗽,但是长期咳嗽并不一定是肺癌。咳嗽是日常最常见得临床症状之一,肺癌仅仅是引起长期咳嗽的其中一个原因。
我们先来说肺癌咳嗽的特点。
很典型的肺癌咳嗽,就如同我们吃了一粒花生米后被呛到气管中,所以气管会竭力咳嗽,打算把气管中的异物咳出来。其实肺癌引起的咳嗽也是由于气管肿瘤这个异物对于气管粘膜的刺激,所以这时候的咳嗽是剧烈的,多数为干咳,有时咳出少量的气管内分泌物。阵发性咳嗽,长期存在并进行性加重。
而更为典型的肺癌症状是,肺癌干咳带有血丝或者带有血块。这时常常由于肺癌肿瘤血运丰富,血管表浅裸露,剧烈咳嗽时出现表面微小血管的破裂引起。
但是很多时候,肺癌引起的咳嗽,并非完全按照典型症状发展,有时候可能就是阵发性的干咳,有时也会合并咳出白色泡沫谈,但是如果合并感染,可能也会咳出大量的泡沫谈或者脓痰。
肺癌初期可能咳嗽并不明显,尤其是外周型肺癌,在没有明显的肿瘤刺激时,可能不会出现咳嗽。
而肺癌的症状远远不不是只有咳嗽这一个症状,所以鉴别肺癌和其他疾病引起的咳嗽时,咳嗽的伴随症状也是一个很重要的方面。
比如上文说到,咳嗽伴有咯血,这个就需要高度重视肺癌可能,这时咳嗽可能不是很典型的刺激性干咳,但是出现咳嗽时带血,那就不能仅仅用咳嗽的性质来判断。
另外,长期咳嗽伴有胸痛。这个也要高度重视,一般出现胸痛时,就要考虑肺癌可能,肺癌的胸痛常常呈阵发性,初期为闷痛或者隐痛,后期侵犯胸膜或者出现骨转移,可能出现剧痛。尤其在咳嗽时胸痛加重,就要考虑肺癌可能。
再者,长期咳嗽伴渐进性乏力,消瘦。这时可能是肺癌出现了恶病质表现,一般都是肺癌发展到了中晚期。当长期的咳嗽伴有食欲不振、消瘦乏力、反复发热等等,也要考虑肺癌可能。
所以说,判断肺癌,并不能仅仅以咳嗽为依据,往往需要根据肺癌咳嗽特点再加上其他咯血、胸痛等症状。而更为准确的是,需要进行胸部影像学检查或者气管纤支镜检查来辅助诊断。
那么除了肺癌还有哪些疾病会引起长期咳嗽?都有什么特点呢?
第一,慢性支气管炎或者慢性阻塞性肺疾病。
这是引起长期咳嗽的最主要的原因之一,这类咳嗽常常反复发生,每年发作咳嗽可有3个月以上,多在冬春季节或者季节交替时发生。
这类咳嗽多由于感染原因引起,或者气道阻塞,肺气肿。一般都会伴有咳痰,可能是白色泡沫谈,也可能是黄痰,这个也取决于感染的病原菌。
另外,这类疾病常常伴有明显的喘憋症状,随着肺功能的下降,会越来越厉害。
许多的慢性支气管炎患者,如果发生咳嗽加重,或者出现咳血、胸痛等,也要警惕出现恶变可能。
第二,支气管扩张。
这个疾病是引起咳嗽最长久的疾病之一,一旦出现支气管扩张后,常常会一年到头都会有咳嗽,并且会伴有大量的脓痰或者脓臭痰。有时也出现咯血,而支气管扩张容易引起大咯血。
支气管扩张随着感染加重,会出现咳嗽加重,并且也会有发热不适。
第三,肺结核。
肺结核也会带来长期咳嗽,它引起的咳嗽也是以干咳为主,也会出现咯血,所以说,有气候会被误以为肺癌症状。
但是肺结核多伴有午后低热,夜间盗汗,身体乏力等等不适。
一般肺结核容易发生在肺上部,通过影像学检查可以发现肺结核边表现,而通过结核菌素实验,可以发现阳性反应。
第四,肺炎。
肺炎多由上呼吸道感染或支气管炎引起的,也可由细菌、真菌等致病微生物,以及放射线、吸入性异物等理化因素引起。
肺炎引起的咳嗽一般通过积极治疗会好转,但是也有会迁延为慢性咳嗽。肺炎发生后,咳嗽有时并不剧烈,但常常伴有发热,高热为主,也有时伴胸痛。严重时出现呼吸困难。
第五,慢性咽炎引起咳嗽
慢性咽炎是上呼吸道感染的症状之一,患慢性咽炎时,咽部黏膜充血、水肿、增生、肥厚,或有分泌物附着,以致刺激到感觉神经末梢,产生反射性咳嗽。患病者常由于咽部发痒、有异物而引发反复性咳嗽,可有少量黏痰。
第五,咳嗽变异性哮喘。
这个属于哮喘一种,以长期反复的咳嗽为主要表现。这个咳嗽多在夜间或者清晨发作、加剧。
一般多因为运动、着凉、吸烟、空气中的刺激物等诱发因素引起,甚至某些特定的食物也可能诱发哮喘。
第六,鼻后滴漏原因
这是由于鼻腔分泌物倒流入咽,持续刺激咽部导致长期慢性咳嗽,同时可以感觉到咽部有异物。
而在感冒、鼻窦炎、过敏性鼻炎发作等鼻腔分泌物增多的时候,咳嗽会有明显加剧。
第六,心脏原因。
比如慢性心衰,可有长期的咳嗽表现,严重时急性发作会有咳粉红色泡沫谈,尤其会有平躺时咳嗽明显,坐起时减轻。另外这类疾病常有心慌胸闷等不适,也会有身体水肿表现。
另外长期咳嗽还会有肺淤血、肺脓肿、脓胸、气管异物等等很多的原因,不再一一列举。
所以说,如果仅仅通过咳嗽判断肺癌,可能很多时候并不典型,需要结合其他症状自以及影像学检查来诊断。引起长期咳嗽的原因有很多的方面,许多疾病咳嗽有着自己的特点,但很多咳嗽也并不能反应出具体疾病,还是需要进一步检查诊断。
我是@全科医聊
到此,以上就是小编对于咳嗽不止查出肺癌的问题就介绍到这了,希望介绍关于咳嗽不止查出肺癌的2点解答对大家有用。
